Cellient® Automated Cell Block System

Increase diagnostic confidence with improved cell capture.

Medical device on table in lab setting.

    Overview

    Documents

    Training

    Get the Most out of Every Cell Block

    The Cellient® Automated System is a fully automated cell block instrument. With overall processing time of less than an hour, vacuum-assisted filtration rapidly concentrates available cells within the block. The system consistently produces diagnostically useful, high quality blocks for efficient review.1

    Improved Capture

     

    Uses vacuum-assisted filtration.

    Captures available cells for maximum cellularity, even from small or scanty samples.

    Built on ThinPrep® technology.

     

    Improved Presentation

     

    Helps maintain crisp, clear cellular architecture.

    Creates concentrations of cells within a block.

    Supports easier and more productive pathology review.

     

    Improved Consistency

     

    Creates high-quality blocks.

    Fully automated with little or no operator dependency.

    Less cross-contamination risk.

    Consistently rapid processing time, 45 minutes or less.

     

    Graphic showing connection between Hologic products

    Working with you to Advance Cervical Health

    We pride ourselves on being champions of women’s health and global leaders in screening, dedicated to advancing the accuracy and early detection of cervical cancer.  From HPV to cytology, and now also AI-based digital diagnostics, we offer a comprehensive and unique screening portfolio, from sample collection to diagnosis.

    Specimen Types Suitable for Cell Blocks

    • Fine Needle Aspiration (FNA) specimens, lung, liver, thyroid, breast, lymph node, other body sites
    • Body Fluids: pleural, ascites, pericardial
    • Respiratory: bronchial wash, bronchial brush, sputum
    • Cervical1
    Technician looking at specimen in lab

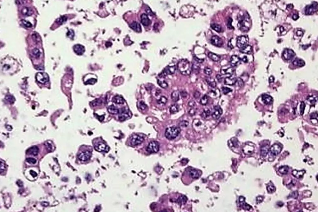
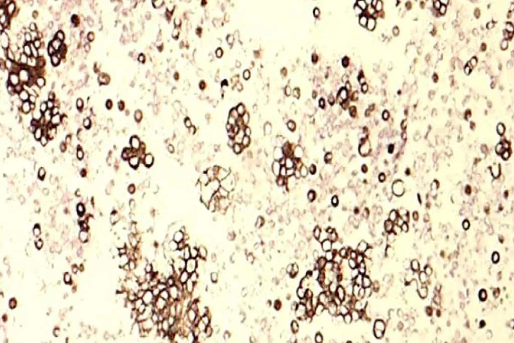
    Image Gallery2

    Evidence. Insight. Collaboration.

    Our education portal improves patient care through excellence in education, communication of clinical and scientific evidence, and partnerships with the healthcare community.

    Insights

    Young woman looking directly at the camera Mother comforting her young daughter, sitting on a couch with laptop showing a doctor on the screen.

    Screening – A Vital Weapon in the Fight Against Cervical Cancer

    Three women smiling and walking on the beach together. A scientist is carefully pouring liquid from a bottle into a container in a laboratory setting.

    Challenges and Solutions to Advance Cervical Screening

    Cervical screening infographics Cervical screening infographics

    Discover the Future of Cervical Cancer Screening

      1. Cellient Automated Cell Block System User Manual, MAN-08346-002, Rev 002
      2. Image Courtesy of Cytology Dept. Groningen University Hospital, Netherlands

      Safety Data Sheets

      Package Inserts

       

      2797
       

      Hologic BV, Da Vincilaan 5, 1930 Zaventem, Belgium.

      Notified Body number wherever applicable